S 単純磁気共鳴画像〈単純MRI〉
小項目
- 適応,MR信号,T1・T2・プロトン密度,脂肪抑制・水抑制・水強調画像,T2*強調像,FLAIR像,拡散強調像,MRS〈MRスペクトロスコピー〉
99D103
頭部の画像を別に示す。

頭部単純MRIのT1強調像はどれか。
a ①
b ②
c ③
d ④
e ⑤
○ a
× b
× c
× d
× e
正解 a
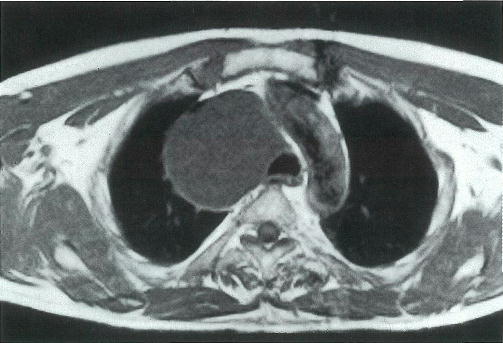
99F42
43歳の男性。健康診断の胸部エックス線写真で腫瘤陰影を指摘されて来院した。胸部単純MRIのT1強調像とT2強調像とを別に示す。


腫瘤の性状として最も考えられるのはどれか。
a 気体
b 漿液
c 線維
d 脂肪
e 石灰
× a
○ b
× c
× d
× e
正解 b
診断 縦隔嚢胞(胸腺嚢胞など)