H 気道異物
102A57
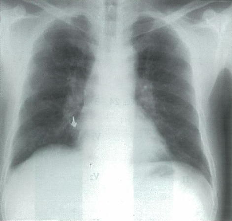
65歳の男性。咳嗽を主訴に来院した。体温 36.6℃。呼吸数 16/分。脈拍 64/分,整。血圧 126/74mmHg。胸部エックス線写真を別に示す。

対応として適切なのはどれか。
a 胸腔鏡検査
b 縦隔鏡検査
c 気管支鏡検査
d 抗菌薬投与
e 1週後再診
× a
× b
○ c
× d
× e
正解 c
101G18
1歳6か月の男児。喘鳴を主訴に来院した。3時間前にピーナッツを食べていて,急に咳込んだ。母親が背中を叩いたところ,小さなピーナッツの塊を吐きだして落ち着いた。1時間前から喘鳴が聞こえるようになった。
まず行うのはどれか。
a 咳嗽誘発
b 上腹部圧迫
c 胸部単純CT
d 気管支鏡検査
e 胸部エックス線撮影
× a
× b
× c
× d
○ e
正解 e
診断 ピーナッツ誤嚥による気道閉塞
添付ファイル
