D 腫瘍の病態・病理
小項目
- 腫瘍の自然史,良性,境界悪性,悪性,上皮性,非上皮性,上皮非上皮混合性,前癌病変,異形成,潜在癌,偶発癌,上皮内癌,表在癌,早期癌,進行癌,転移癌,重複癌,浸潤,リンパ行性転移,血行性転移,遠隔転移,播種,悪液質,TMN・臨床病期分類,再発
102E27
乳房腫瘍の診察で適切なのはどれか。2つ選べ。
a 坐位で触診する。
b 月経開始前1週間に触診する。
c 上肢を挙上させ腋窩を触診する。
d 上肢を挙上させ乳房を視診する。
e 両手指による触診でえくぼ徴候の有無をみる。
○ a
× b
× c
○ d
○ e
正解 ad,ae,de
102E28
大腸癌の病期を規定する因子でないのはどれか。
a 組織学的分類
b 壁深達度
c リンパ節転移
d 肝転移
e 腹膜転移
× a
○ b
○ c
○ d
○ e
正解 a
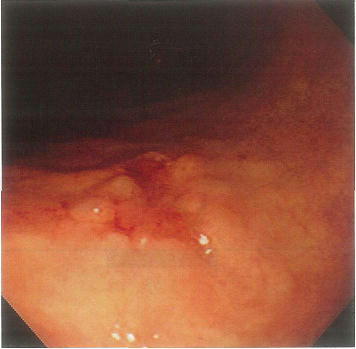
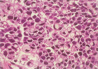
102G45
52歳の男性。上腹部痛を主訴に来院した。1か月前から食後に上腹部痛を自覚するようになった。胃内視鏡写真と生検組織H-E染色標本とを別に示す。


治療として適切なのはどれか。
a アルゴンプラズマ凝固
b 抗癌化学療法
c 放射線治療
d 粘膜切除術
e 胃切除
× a
× b
× c
× d
○ e
正解 e
101B62
悪性腫瘍を合併しやすいのはどれか。2つ選べ。
a 結節性硬化症
b Darier病
c 皮膚筋炎
d Sweet病
e 乾癬
× a
× b
○ c
○ d
× e
正解 cd
99F17
68歳の男性。1年6か月前に,直腸癌に対して直腸切断術を受けた。1週前の胸部エックス線写真で異常陰影が認められた。現在自覚症状はなく,全身状態は良好である。血清CEA値は19.8ng/ml(基準 5以下)で,胸腹部CTで右肺下葉に径2cmの結節性病変を1個認めた。それ以外に異常はない。
この患者の治療方針として適切なのはどれか。
a 経過観察
b 化学療法
c 外科的切除
d 放射線治療
e 緩和ケア
× a
× b
○ c
× d
× e
正解 c
診断 転移性肺癌
