F 胸膜中皮腫
102A54
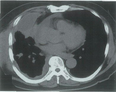
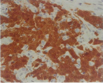
65歳の男性。右前胸部の疼痛を主訴に来院した。2か月前から乾性咳嗽と労作時の呼吸困難とが出現し,徐々に増悪した。16歳から60歳まで自動車整備工をしていた。喫煙は20本/日を45年間。意識は清明。身長 168cm,体重 54kg。体温 37.0℃。脈拍 76/分,整。血圧 130/90mmHg。胸部右側の呼吸音の減弱を認める。血液所見:赤血球 429万,Hb 14.6g/dl,Ht 45%,白血球 4100,血小板 20万。血液生化学所見:総蛋白 7.5g/dl,アルブミン 3.5g/dl,AST 22IU/l,ALT 9IU/l,LDH 128IU/l(基準 176~353)。CRP 0.2mg/dl。穿刺排液した胸水は黄色混濁で,比重 1.019。蛋白 5.2g/dl,LDH 151IU/l,アデノシンデアミナーゼ 45.0IU/l(基準 50以下),ヒアルロン酸高値。一般細菌および抗酸菌培養は陰性で,結核菌のPCR検査も陰性であった。胸部単純CTを別に示す。確定診断のため,胸腔鏡下で壁側胸膜上の結節を生検した。生検組織のH-E染色標本とカルレチニン免疫組織染色標本とを別に示す。CEAによる免疫組織染色は陰性であった。



診断はどれか。
a 膿胸
b 乳び胸
c 胸膜中皮腫
d 癌性胸膜炎
e 結核性胸膜炎
× a
× b
○ c
× d
× e
正解 c
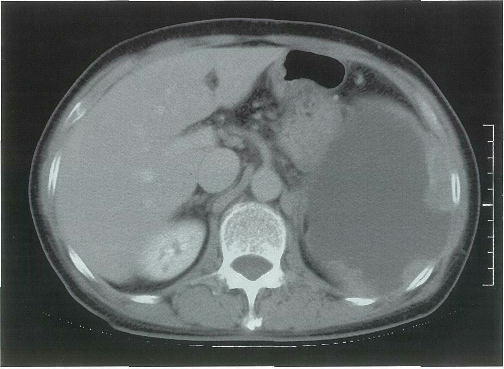
101G16
71歳の男性。呼吸困難を主訴に来院した。20歳から40年間,ビル建設の仕事に従事した。喫煙 20本/日を30年間。胸水中のヒアルロン酸は92300ng/mlと著明な増加を示す。胸部エックス線写真と胸腹部造影CTとを別に示す。


考えられるのはどれか。
a 膿胸
b 胸腺腫
c 胸膜中皮腫
d 縦隔奇形腫
e 非小細胞肺癌
× a
× b
○ c
× d
× e
正解 c
診断 悪性胸膜中皮腫
100A16
65歳の女性。咳と背部痛とを主訴に来院した。1年前から咳と背部痛とが出現し,近医で内服薬を処方されたが,症状が改善していない。夫は30年にわたり断熱材工場に勤務していた。身長 156cm,体重 53Kg,体温 36.6℃,呼吸数 16/分。脈拍 92/分,整。血圧 118/80mmHg,左下肺野の呼吸音は減弱している。胸部エックス線写真と胸部造影CTとを別に示す。
最も考えられるのはどれか。
a 肺癌
b 胸腺腫
c 肺結核
d 縦隔奇形腫
e 胸膜中皮腫
× a
× b
× c
× d
○ e
正解 e
診断 悪性胸膜中皮腫
