B 腸重積症
101G31
8か月の乳児。不機嫌と哺乳不良とを主訴に来院した。数日前から鼻汁があったが機嫌は良好であった。10時間前から急に不機嫌になりミルクを嘔吐するようになった。心音と呼吸音とに異常を認めない。右上腹部に腫瘤を触知する。腹部超音波写真を別に示す。

次に行うのはどれか。
a 注腸造影
b 腹部単純CT
c 抗菌薬の投与
d 腫瘤の針生検
e 緊急開腹手術
○ a
× b
× c
× d 禁忌
× e
正解 a
診断 腸重積症
99A31
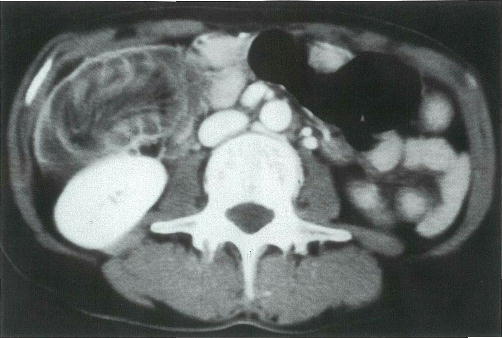
60歳の女性。昼食後に下腹部痛があり来院した。意識は清明。体温 36.7℃。脈拍 68/分,整。血圧 120/64mmHg。顔貌は苦悶様。腹部は平坦で,腸雑音はやや亢進している。右下腹部に圧痛があるが腹膜刺激症状はない。血液所見:赤血球 405万,Hb 13.8g/dl,Ht 35%,白血球 10000,血小板 17万。血清生化学所見:総蛋白 6.3g/dl,アルブミン 3.2g/dl,AST 32単位,ALT 27単位,LDH 430単位(基準 176~353),アルカリホスファターゼ 240単位(基準 260以下)。CRP 3.5mg/dl。腹部造影CTを別に示す。


最も考えられるのはどれか。
a 虫垂炎
b 大腸憩室症
c 腸結核
d 腸重積症
e 盲腸軸捻転症
× a
× b
× c
○ d
× e
正解 d
診断 腸重積症