D 皮膚筋炎,多発性筋炎
102I64
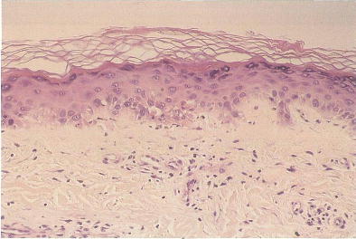
54歳の男性。全身の皮疹と倦怠感とを主訴に来院した。1か月前から顔面,体幹および四肢に紅斑が出現し,徐々に拡大し,全身倦怠感を伴ってきた。上眼瞼と四肢関節の背面とを中心に紅斑がみられる。膝部の写真と同部の病理組織H-E染色標本とを別に示す。


第一選択の治療を開始する際,患者に伝えておくべき副作用はどれか。2つ選べ。
a 胃潰瘍
b 骨髄障害
c 骨粗鬆症
d 腎機能障害
e アナフィラキシー
○ a
× b
○ c
× d
× e
正解 ac
診断 皮膚筋炎
101G53
5歳の女児。3週前から両頬部に紅斑が出現し,2週前から全身倦怠感も出現してきたため来院した。身長 125cm,体重 24.5kg。体温 36.8℃。脈拍 88/分,整。血圧 120/68mmHg。顔面の紅斑の写真と肘頭の皮疹の写真とを別に示す。眼球結膜と眼瞼結膜とに異常を認めない。心音と呼吸音とに異常を認めない。腹部は平坦,軟で,肝・脾を触知しない。四肢の筋力低下が認められ,ベッド上では仰臥位から直接立ち上がれない。心電図と胸部エックス線写真とに異常を認めない。


この症例で予想されるのはどれか。
a ASO高値
b LDH高値
c 血小板数減少
d LEテスト陽性
e γ-グロブリン増加
× a
○ b
× c
× d
× e
正解 b
診断 皮膚筋炎
100F47
56歳の女性。皮疹と筋力低下とを主訴に来院した。半年前から階段の昇降がつらくなり,しゃがみ立ちが困難になった。最近,上眼瞼に紫紅色の浮腫が,肘と膝関節との伸側に紅斑が出現した。半年間で5kg体重が減少した。身長 161cm,体重 37kg。体温 37.6℃。脈拍 80/分,整。血圧 104/62mmHg。前額部,鼻唇溝,後頭部および後頸部に紅斑を認める。右頭部と両膝窩とに大豆大のリンパ節を触知する。心雑音はない。両側下肺野にfine cracklesを聴取する。腹部は平坦で,肝・脾を触知しない。徒手筋力テストで,頸筋 3,両側の上下肢筋 4。神経学的に異常所見はない。尿所見:蛋白(-)。便潜血 1+。血液所見:赤沈 25mm/1時間,赤血球 366万,Hb 10.9g/dl,白血球 6200,血小板 20万。血清生化学所見:空腹時血糖 100mg/dl,尿素窒素 10mg/dl,クレアチニン 0.3mg/dl,AST 50単位,ALT 32単位,CK 148単位(基準 10~40)。免疫学所見:CRP 0.1mg/dl,抗核抗体 80倍(基準 20倍以下)。
この患者で予想される合併症はどれか。2つ選べ。
a 感染症
b 腎障害
c 悪性腫瘍
d 間質性肺炎
e 中枢神経障害
× a
× b
○ c
○ d
× e
正解 cd
診断 間質性肺炎を合併する皮膚筋炎