A 血管系治療
小項目
- 適応,塞栓術,バルーン閉塞下経静脈的静脈瘤閉塞〈BRTO〉,拡張術〈血管拡張術,弁拡張術〉,ステントグラフト内挿術,血栓溶解療法,カテーテルアブレーション,異物除去術,動注化学療法
備考
-
拡張術〈血管拡張術,弁拡張術〉
- 経皮的冠動脈形成術〈PTCA〉,経皮的冠動脈インターベンション〈PCI〉,ステント留置術
102G33
腹部大動脈瘤の治療法はどれか。2つ選べ。
a 塞栓術
b 血栓除去術
c 血栓溶解療法
d 人工血管置換術
e ステントグラフト術
× a
× b
× c
○ d
○ e
正解 de
101B111
経皮的冠動脈形成術の適応でないのはどれか。
a 安定狭心症
b 異型狭心症
c 急性心筋梗塞
d 不安定狭心症
e 無痛性心筋虚血
○ a
× b
○ c
○ d
○ e
正解 b
101B112
血管に富む髄膜腫の摘出手術前に行われるのはどれか。
a 全脳照射
b 動脈塞栓術
c 抗腫瘍薬動注療法
d 脳室ドレナージ
e 内視鏡下生検
× a
○ b
× c
× d
× e
正解 b
101H44
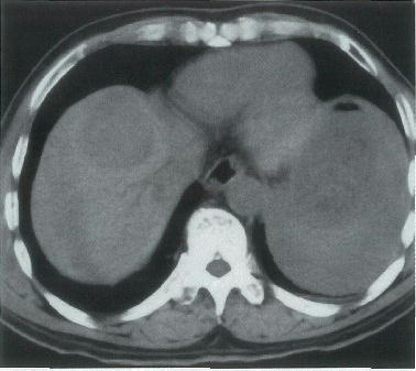
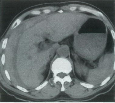
64歳の男性。昨晩から持続する腹痛を主訴に来院した。10年前に肝疾患を指摘された。意識は清明。顔色は不良である。脈拍 112/分,整。血圧 84/60mmHg。血液所見:赤血球 189万,Hb 5.8g/dl,白血球 9600。腹部単純CT(A,B)と造影CT(C,D)とを別に示す。




輸血を開始した後に行うのはどれか。
a 動脈塞栓術
b バルーン閉塞下経静脈的静脈瘤閉塞〈BRTO〉
c ステントグラフト術
d 抗腫瘍薬動注療法
e 経皮的ラジオ波焼灼
○ a
× b
× c
× d
× e
正解 a
診断 肝癌の腹腔内破裂
100G118
小児の先天性心疾患でカテーテル治療が最もよく行われるのはどれか。
a 大動脈縮窄症
b 僧帽弁狭窄症
c 大動脈弁狭窄症
d 肺動脈弁狭窄症
e 上大静脈狭窄症
× a
× b
× c
○ d
× e
正解 d
100H23
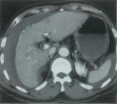
61歳の男性。黒色便を主訴に来院した。1年前に肝細胞癌と診断され,ラジオ波焼灼を受けた。血液所見:赤血球 220万,Hb 7.5g/dl,白血球 2800,血小板 7万,プロトロンビン時間 65%(基準 80~120)。血清生化学所見:アルブミン 3.3g/dl,総ビリルビン 1.8mg/dl,AST 72単位,ALT 65単位。腹部造影CTを別に示す。
治療として適切なのはどれか。
a 病変の穿刺ドレナージ
b 肝動脈塞栓術
c バルーン閉塞下経静脈的静脈瘤閉塞〈BRTO〉
d 胃瘻造設
e 胃切除
× a 禁忌
× b
○ c
× d
× e
正解 c
診断 胃静脈瘤出血
99D113
塞栓術が適応となるのはどれか。
a 脳出血
b 脳梗塞
c 脳動脈瘤
d 神経膠腫
e 急性硬膜外血腫
× a
× b
○ c
× d
× e
正解 c
99D114
肺動脈弁狭窄症のカテーテル治療の合併症で最も重篤なのはどれか。
a 穿刺部皮下出血
b 心室性期外収縮
c 三尖弁逆流
d 肺動脈穿孔
e 肺動脈弁逆流
× a
× b
× c
○ d
× e MEDICMEDIAではこっちが○
正解 d