H Down症候群
101E28,101E29,101E30
次の文を読み,28~30の問いに答えよ。
6歳2か月の男児。発熱を主訴として来院した。
現病歴: 1週前から元気がなく,時々38℃台の発熱が現れるようになった。
発育歴・既往歴: 妊娠経過は異常なく,40週に自然分娩で出生した。出生体重 2960g。Apgarスコア 4点(1分),8点(5分)。日齢3から光線療法を24時間受けた。新生児期から特異な顔貌があり,生後1か月ころに精密検査を受けた。1歳時の身長 74cm,体重 9kg。首のすわり 4か月,つかまり立ち 13か月,ひとり歩き 23か月。まだボタンをうまく掛けられず,ひとりで靴を履けない。まねをして丸は書くが,四角は書けない。
家族歴: 父42歳,母41歳。両親と10歳の姉とに特記すべき疾患はない。
現症: 身長 106cm,体重 18kg。体温 38.0℃。脈拍 100/分,整。血圧 110/54mmHg。顔の写真を別に示す。皮膚に発疹を認めない。第5指が短い。眼瞼結膜は貧血様で,眼球結膜に黄染を認めない。咽頭に発赤はない。右側頸部に径約1.5cmのリンパ節を2個触知するが,圧痛はない。胸骨左線第2肋間に2/6度のやわらかい収縮期雑音を聴取する。呼吸音は正常。右肋骨弓下に肝を2cm,左肋骨弓下に脾を触知する。深部腱反射は正常である。
検査所見: 血液所見:赤血球 303万,Hb 8.7g/dl,Ht 26%,白血球 4600(桿状核好中球 1%,分葉核好中球 8%,単球 6%,リンパ球 63%,異常細胞 22%),血小板 8万。血清生化学所見:総蛋白 7.0g/dl,アルブミン 3.7g/dl,総ビリルビン 0.5mg/dl,AST 29IU/l,ALT 15IU/l,LDH 820IU/l(基準 176~353),Fe 55μg/dl,TIBC 320μg/dl(基準 240~310)。CRP 6.1mg/dl。

28 この患児について正しいのはどれか。2つ選べ。
a 新生児仮死があった。
b 新生児高ビリルビン血症があった。
c 1歳時のKaup指数は低値であった。
d 発達指数は約70である。
e 心室中隔欠損症がある。
○ a
○ b
× c
× d
× e
正解 ab
29 この患児で予想される染色体核型はどれか。
a 46,XY,5p-
b 47,XY,+13
c 47,XY,+18
d 47,XY,+21
e 47,XXY
× a
× b
× c
○ d
× e
正解 d
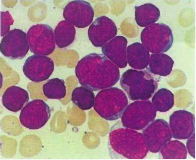
30 骨髄血塗抹May-Giemsa染色標本を別に示す。

この患児に合併しているのはどれか。
a 伝染性単核症
b 再生不良性貧血
c 骨髄異形成症候群
d 慢性骨髄性白血病
e 急性リンパ性白血病
× a
× b
× c
× d
○ e
正解 e
診断 Down症候群に合併した急性リンパ性白血病